MRI evaluation in low backache patients
Shrikant Sharad Gundawar1*, Sudhir Navale2, Aniruddha Jagtap3, Sahil Kulkarni4
1Associate Professor, 2Professor, 4Jr III, Department of Radiology, Bharati Vidyapeeth Deemed University, Dhankawadi, Pune 411043, Maharashtra, INDIA.
Email: drsudhirnawale_rad@yahoo.co.in
Abstract Background: The study was conducted to evaluate the role of MRI in lumber canal stenosis. Objective: The objective of the study was. 1. To elicit the MRI signs of central and lateral canal stenosis. 2. To corelate clinical profile with MR finding in lumber canal stenosis. 3. To highlight the importance of thecal sac area measurement in diagnosis of lumber canal stenosis. Material and Methodology: The study was carried out over two years at a private diagnostic centre in Pune. Fifty patients having low bachache with or without radiculopathy were included in the study irrespective of age and sex of the patient. Results: Low backache with or without radiculopathy are more common in male than in females with more prevalence in old age group. Required degenerative or arthritic changes such as osteophytes formation, facetal arthropathy, intervertebral disc degeneration with herniation or bulges, hypertrophy of ligamentum flavum, spinal canal stenosis, degenerative spondylolisthesis are major cause of patient symptoms. Conclusion: MRI evaluates the bony structures, joints, ligaments, nerve roots, disc, thecal sac and the adjoining spinal structures and can be used as a one stop investigation in cases of low backache and radiculopathy.
Key Words: Backache, Degenerative changes, MRI.
INTRODUCTION
Due to increase in longevity of human being, larger percentage of the older population is now seen. Therefore lumbar spinal canal stenosis (LSS) is now more frequently encountered. This is a painful and potentially disabling condition.1,2 Degenerative LSS is defined as narrowing of the spinal canal, the lateral nerve root canals or the intervertebral neural foramina due to progressive degenerative hypertrophy or due to anatomical narrowing of the of any of the surrounding osteocartilaginous and soft tissue structures which may result in neurogenic or vascular compression of the contents of the spinal canal at one or more levels. The incidence and prevalence of symptomatic lumbar stenosis are unknown. It is estimated from data in the USA that every year 90 out of 100.000 persons older than 60 years undergo lumbar surgery and lumbar spinal stenosis is the most frequent indication for this procedure.3,4,5 The etiology of low backache is multifactorial, where degenerative spinal disease contributes to about 20%, 70% are mainly non-specific probably due to muscle strain. Only 2% is contributed by other diseases of spine that included malignant, neoplastic and inflammatory causes6. The spinal canal demonstrates narrowing, attributed most frequently to acquired degenerative or arthritic changes such as hypertrophy of the articulations surrounding the canal, thickening of facet joint capsules, intervertebral disc herniation or bulges, hypertrophy of the ligamentum flavum, osteophyte formation and degenerative spondylolisthesis.2,7,8 Most causes of back pain respond to conservative treatment. But if the pain is unrelenting, severe or associated with radiculopathy or myopathy imaging is indicated to look for treatable cause.9 With advent of newer modalities like plain CT and CT myelography, thecal sac and nerve roots can be identified separate from disc. MRI is the modality of choice when diagnosing spinal stenosis. MRI is non-invasive, does not involve radiation and its multiplanar imaging capability defines disease morphology better without need of intrathecal contrast. The present study was conducted for evaluation of role of MRI in lumbar canal stenosis elicit the MRI signs of central and lateral lumbar canal stenosis, correlate clinical profile with MR findings in lumbar spinal stenosis, and to highlight the importance of thecal sac area measurement in diagnosis of lumbar canal stenosis.
METHODOLOGY
This prospective observational study was conducted over 50 patients during a time span of 1 year. The study was conducted on patients of all age groups of either sex selected randomly, with clinical history of low backache with and without associated radiculopathy. There were referred to the Department of Radio diagnosis and Imaging, B.V.M.C, Pune, from January 2018 to December 2019. A written, informed consent was taken from every patient. Scans were obtained on a Philips MRI System – “Philips Achieva” 1.5 T machine. Patients were examined in the supine position on MRI table after proper positioning and immobilization.
RESULTS
Data of 50 patients was analyzed as regards to their age distribution, sex distribution, intra- as well as extra-axial brain findings, associated cervical bony injuries, etc. Male population (62%) dominated the study subjects. The fifth decade was commonest to be affected (34%), followed by seventh (26 %) and sixth (18%). Majority of the patients included in study population had low backache with radiculopathy (92%) as presenting complaint than low backache alone.
Table 1: disc bulges in patients with low backache
DISC BULGES |
Diffuse |
Paracentral |
Central |
L1 - L2 |
11 |
1 |
0 |
L2 - L3 |
19 |
1 |
0 |
L3 -L4 |
36 |
6 |
2 |
L4 - L5 |
39 |
8 |
4 |
L5 - S1 |
30 |
6 |
1 |
Disc bulges in majority of patients included in study population were multilevel and usually diffuse.

GRAPH 1: DISC BULGES
Table 2: Ligamentum Flavum Hypertrophy In Low Backache Patients
LIGAMENTUM
FLAVUM HYPERTROPHY |
UNILATERAL LIGAMENTUM
FLAVUM HYPERTROPHY |
BIALTERAL LIGEMENTUM
FLAVUM HYPERTROPHY |
L1 - L2 |
0 |
2 |
L2 - L3 |
0 |
5 |
L3 -L4 |
0 |
26 |
L4 - L5 |
1 |
38 |
L5 - S1 |
0 |
17 |
Ligamentum flavum hypertrophy in patients included in study population was mostly bilateral and seen most common at level L4-L5.
Table 3: Unilateral and bilateral facetal arthropathy in patients with low back ache
FACETAL JOINT
ARTHROPATHY |
UNILATERAL FACETAL
ARTHROPATHY |
BILATERAL FACETAL
ARTHROPATHY |
L1 - L2 |
0 |
5 |
L2 - L3 |
0 |
6 |
L3 -L4 |
1 |
22 |
L4 - L5 |
1 |
36 |
L5 - S1 |
0 |
19 |
Facetal arthropathy in patients included in study population was mostly bilateral and seen most common at level L4-L5.
Table 4: mild, moderate and severe central canal stenosis in low back ache patients
CENTRAL CANAL
STENOSIS |
MILD TO MODERATE
CENTRAL CANAL STENOSIS |
SEVERE CENTRAL
CANAL STENOSIS |
L1 - L2 |
0 |
0 |
L2 - L3 |
4 |
1 |
L3 -L4 |
9 |
9 |
L4 - L5 |
16 |
23 |
L5 - S1 |
7 |
10 |
Central canal stenosis on basis of thecal sac area measurement was mostly seen at L4-L5 level.
Table 5: Unilateral and bilateral lateral recess stenosis in low back ache patients\
LATERAL RECESS
STENOSIS |
UNILATERAL LATERAL
RECESS STENOSIS |
BILATERAL LATERAL
RECESS STENOSIS |
L1 - L2 |
0 |
1 |
L2 - L3 |
1 |
2 |
L3 -L4 |
2 |
14 |
L4 - L5 |
6 |
27 |
L5 - S1 |
3 |
13 |
Lateral recess stenosis in patients included in our study population was mostly seen at L4-L5 level and was mostly bilateral.
Table 6: Mild, moderate and severe stenosis in unilateral and bilateral neural foramina in low backache patients
NERUAL FORAMINAL STENOSIS |
BILATERAL MILD TO MODERATE NEURAL FORAMINAL STENOSIS |
UNILATERAL MILD TO MODERATE NEURAL FORAMINAL STENOSIS |
BILATERAL SEVERE NEURAL FORAMINAL STENOSIS |
UNILATERAL SEVERE NEURAL FORAMINAL STENOSIS |
L1 - L2 |
2 |
0 |
1 |
0 |
L2 - L3 |
7 |
1 |
0 |
0 |
L3 -L4 |
14 |
5 |
3 |
2 |
L4 - L5 |
20 |
5 |
9 |
3 |
L5 - S1 |
14 |
7 |
2 |
2 |
Distribution of neural foraminal stenosis is commonly bilateral and mild to moderate; was seen at L4-L5, L3-L4 and L5-S1 levels in our study.
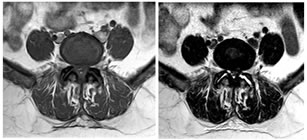
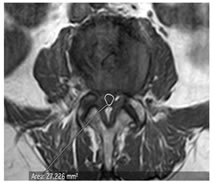
CASE 1



LUMBARIZED S1 VERTEBRA IS NOTED
T1W PARASAGITTAL IMAGE SHOWING MODERATE THECAL SAC STENOSIS ON THE LEFT (OBLITERATION OF FAT PLANE) ABUTTING THE L5 EXITING NERVE ROOT AT L5-S1 LEVEL
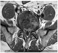
T1W AXIAL IMAGE SHOWING SEVERE THECAL SAC STENOSIS (<75 mm2) AT L5-S1 LEVEL DUE TO DIFFUSE DISC BULGE AND LIGAEMETNUM FLAVUM HYPERTROPHY AND FACETAL ARTHROPATHY
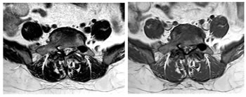
CASE 2


T1 AND T2 W AXIAL IMAGES SHOWING DIFFUSE DISC BULGE WITH SEVERE BILATERAL FACETAL ARTHROPATHY AND LIGAMENTA FLAVA THICKENING AT L5-S1 LEVEL CAUSING MODERATE THECAL SAC STENOSIS, NARROWING OF LATERAL RECESS WITH COMPRESSION OVER BILATERAL TRAVERSING NERVE ROOTS. AN INTRASPINAL SYNOVIAL CYST IS ALSO SEEN ARISING FROM FACET JOINT ON THE RIGHT.
AXIAL T1 AND T2 W IMAGES SHOWING HYPOINTENSE SIGNAL ON PEDICLE OF S1 VERTEBRA ON LEFT SIDE SUGGESTIVE OF SCLEROTIC LESION POSSIBLY OSTEOMA
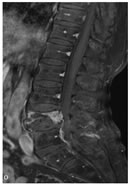
CASE 3



T2 W AXIAL IMAGE AT L3-4 LEVEL SHOWING REDUCED THECAL SAC AREA BUT THERE IS NO COMPRESSION SUGGESTIVE OF PROMINENT EPIDURAL FAT PAD. THERE IS ALSO EVIDENCE OF LIGAMENTUM FLAVUM HYPERTROPHY AND FACETAL ARTHROPATHY
POST CONTRAST T1W CORONAL IMAGE SHOWING ENHANCEMENT OF L3 AND L4 VERTEBRAL BODIES ALONG WITH L3-L4 INTERVERTEBRAL DISC ENHANCEMENT AND PARAVERTEBRAL SOFT TISSUE ENHANCEMENT ON THE LEFT SUGGESTIVE OF SPONDYLODISCITIS.
POST CONTRAST T1W AXIAL IMAGE SHOWING ENHANCEMENT OF PARAVERTEBRAL AND PARASPINAL REGION ON THE LEFT AT THE LEVEL OF L4 VERTEBRAL BODY
CASE 4



T1 W PARASAGITTAL IMAGE SHOWING OBLITERATION OF THE FORAMINAL FAT PAD WITH EXITING NERVE ROOT COMPRESSION AT L4-L5 LEVEL ON RIGHT CAUSING SEVERE NEURAL FORAMINAL STENOSIS
T1W AXIAL IMAGE SHOWING SEVERE THECAL SAC STENOSIS DUE TO DISC PROTRUSION, CENTRAL EXTRUSION, LIGAMENTUM FALVUM HYPERTROPHY AND FACETAL ARTHROPATHY
T2W MID SAGITTAL IMAGE SHOWING DISC PROTRUSIONS AT MULTIPLE LEVELS CAUSING COMPRESSION OVER THE ANTERIOR THECAL SAC AND ITS CONTAINED NERVE ROOTS
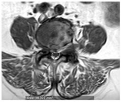
CASE 5


T1W AXIAL IMAGE SHOWING DIFFUSE DISC BULGE, LIGAMENTUM FLAVUM HYPERTROPHY AND BILATERAL FACETAL ARTHROPATHY CAUSING SEVERE THECAL SAC STENOSIS
T2W MID SAGITTAL IMAGE SHOWING MINIMAL RETROLISTHESIS OF L2 OVER L3 AND DISC DEGENERATION AT ALL LUMBER INTERVERTEBRAL LEVELS WITH REDUCED DISC HEIGHT AT FEW LEVELS. THERE IS DISC PROTRUSION NOTED AT L2-3, L3-4, L4-5 LEVELS CAUSING INDENTATION OVER THECAL SAC
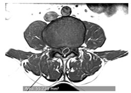
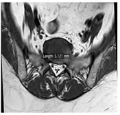
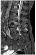
CASE 6


T1W AXIAL IMAGE AT THE LEVEL OF L5-S1 INTERVERTEBRAL DISC SHOWING NARROWED THECAL SAC WITH TRIRADIATE CONFIGURATION AND PROMINENT EPIDURAL FAT WITH MAXIMUM THICKNESS ABOUT 5.12 mm. LATERAL RECESS APPEARS NORMAL
T1W AND STIR SAGITTAL IMAGES SHOWING PROMINENT PERIDURAL FAT AT L5-S1 LEVEL EXTENDING INTO SACRAL CANAL WHICH IS APPEARING HYPERINTENSE ON T1W AND SUPPRESSED ON STIR IMAGE SUGGESTIVE OF EPIDURAL LIPOMATOSIS. IT IS CASUING SIGNIFICANT NARROWING OF THECAL SAC AND ASSOICATED CLINICAL SYMPTOMS
CASE 7



STIR SAGITTAL IMAGE SHOWING WEDGE SHAPE COLLAPSE OF L3 VERTEBRAL BODY WITH HYPERINTENSE SIGNAL WIHTIN
T1W AXIAL IMAGE SHOWING SEVERE THECAL SAC STENOSIS DUE TO DIFFUSE DISC BULGE AT L3-L4 LEVEL
POST CONTRAST T1W IMAGES SHOWING ENHANCEMENT OF THE L3 VERTEBRAL BODY, DURAL ENHANCEMENT FROM L3 TO L4 LEVELS AND POSTERIOR ELEMENT ENHANCEMENT LIKELY TO BE INFECTIVE / NEOPLASTIC ETIOLOGY.
CASE 8


T2W AND T1W SAGITTAL IMAGES SHOWING HYPOINTENSE SIGNAL IN L2 VERTEBRAL BODY SUGGESTIVE OF SCLEROTIC METASTASIS. HEMANGIOMA IS SEEN IN L1 AND L3 VERTEBRAL BODIES APPEARING HYPERINTENSE SIGNAL ON BOTH T2 AND T1W IMAGES.
T1W AXIAL IMAGE SHOWING MILD THECAL SAC STENOSIS AT L5-S1 DUE TO DIFFUSE CIRCUMFERENTIAL DISC PROTRUSION, LIGAMENTUM FLAVUM HYPERTROPHY AND FACETAL ARTHROPATHY
DISCUSSION
All symptomatic patients who came to radiology department in the year 2019 were studied. The number of patients studied was 50 in the age group of 31 to 80 years. Out of all patients 31 were males and 19 were females. In our study there are more male patients compared to female patients. V M Haughton et al. studied degenerative lumbar discs in 100 patients and found that there was slight male preponderance 10. J W Frymoyer et al. in their study showed that heavy mechanical work done by males is related to low backache 11.
CLINICAL PRESENTATION:
The most common clinical presentation was low backache with unilateral radiculopathy 48%, while 44% had low backache with bilateral radiculopathy and 8% had only low backache. Low back pain is commonest presenting symptom according to a study by Frymoyer et al. in 1221 patients 12.
DISC BULGE (PROTRUSION) AND EXTRUSION:
50 patients with low backache were studied at 5 intervertebral disc levels each (L1-2, L2-3, L3-4, L4-5, L5-S1). Out of 250 intervertebral discs most of them had diffuse disc bulges 135(54 %). Paracentral disc extrusion was seen only in 22 (8.8 %) and central disc extrusion noted in only 7 (2.2%). Diffuse disc bulges were mostly seen at L4-L5 level (78%) followed by L3-L4 level (72%), L5-S1 level (60%), L2-L3 level (38%) and L1-L2 level (22%). Paracentral disc extrusion is noted mostly at L4-L5 level (16%) followed by L3-L4 (12%), L5-S1 (12%), L2-L3 (2%) and L1-L2 (2%). Central disc extrusion is noted mostly at L4-L5 level (8%) followed by L3-L4 (4%), L5-S1 level (2%). No central disc extrusion was seen at L1-2, L2-3 levels in our study. In a study by Crock HR et al. maximum disc protrusions were seen at L4-L5 and L5-S1 (90%), L3-L4 (7%) and L1-L2 and L2-L3 (3%) 13. The paracentral extrusions were associated with compression of exiting nerve roots and central protrusions/ extrusions were associated with thecal sac and traversing nerve compression. In a study by Fries JW paracentral disc herniation was seen in 60 - 85 %, central 5- 35% of patients 14. In a case series MR imaging study investigated the prevalence of lumbar disc abnormality in a series of 20 to 70 year old patients with back pain. It was found that disc degeneration with diffuse disc protrusions in the lower lumbar spine was more commonly found at L4– L5 and L5–S1, which had the highest rate of degeneration. At L1–L2, the degeneration rate was the lowest 15, 16, 17 . This caudo-cranial direction pattern was also seen in disc extrusions. These findings support the fact that mechanical wear and tear of the discs is greater in those that are adjacent to fused lumbar vertebrae. Higher percentage of disc involvement was observed more commonly at lower lumbar level. The prevalence of disc extrusion was more in already degenerated discs. We found that involvement of L4–L5 was much higher than L1–L2, L2–L3, L3–L4, and L5–S1. It therefore also can be deduced that the lower the lumbar level the higher the prevalence of disc extrusion 16,17.
LIGAMENTUM FLAVUM HYPERTROPHY:
Unilateral ligamentum flavum is seen only in 1 (1%) at L4-L5 level. Bilateral ligamentum flavum hypertrophy is seen most commonly at L4-L5 level (76%) followed by L3-L4 (52%), L5-S1 (34%), L2-L3 (10%) and L1-L2 (4%). Ligamentum flavum hypertrophy can reduce the diameter of the spinal canal posteriorly and it was significantly more associated with lumbar stenosis than others. It was positively associated with L2–L3, L3–L4, and L4–L5 as shown in a previous study conducted in Turkey 18. In our study hypertrophy of ligamentum flavum was also significantly associated with disc herniation on all levels, as observed in previous study 18.
FACETAL ARTHROPATHY:
Unilateral facetal arthropathy were noted 1 (1%) at L3-4 and 1 (1%) at L4-5 levels. Bilateral facetal arthropathy was noted most common at L4-L5 level (72%) followed by L3-L4 level (44%), L5-S1 (38%), L2-L3 (12%) and L5-S1 (10%). As compared to a study, facet arthrosis was present in 53% (L1-L2), 66% (L2-L3), 72% (L3-L4), 79% (L4-L5), and 59% (L5-S1) 19. Fisher exact test and t test demonstrated that men had a greater prevalence and degree of facet arthropathy than women at all lumbar levels 19.
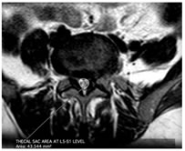
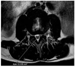
CENTRAL CANAL STENOSIS:
Out of 50 patients with low backache studied at 5 levels each (L1-2, L2-3, L3-4, L4-5, L5-S1). Severe central canal stenosis is noted mostly at L4-L5 (46%) followed by L5-S1 (20%), L3-L4 (18%), L2-L3 (2%). Mild to moderate central canal stenosis is noted mostly at L4-L5 (32%) followed by L3-L4 (18%), L5-S1 (14%), L2-L3 (8%). There was no evidence of central canal stenosis at L1-L2 level in any patient. In our study multilevel disc involvement causing central canal stenosis was seen in 56% of patients whose clinical presentation is low backache with associated radiculopathy. Thus in patients with radiculopathy disc pathologies causing canal stenosis were seen less commonly. Hamanishi et al.. (1994) reported that neurogenic claudication is associated with a cross-sectional area of < 100 mm2 at more than 2 of 3 intervertebral levels; however, multilevel affection was rare in patients with radicular-type pain (Hamanishi et al. 1994) 20. The absolute reduced cross-sectional area that gives neurological symptoms of central spinal stenosis has been estimated to be around 75 mm2 (critical size) (Schönström 1988) 21 and some studies today use a value of 70–80 mm2 as a definition of spinal stenosis (Malmivaara et al.. 2007) 22. Thirty one (62%) patients in our study had severe central canal stenosis, which is higher compared to that 23 reported by Modic et al. (2005), and Shobeir et al. (2009) 24. Shobeir et al. (2009)24 - reported nerve root compression to be more frequent at level L5/S1, which is different from this study in which L4/L5 was the common site. However, no patients had nerve root compression at L1/L2 level.
NEURAL FORAMINAL STENOSIS
Out of 50 patients studied at 5 intervertebral levels each (L1-2, L2-3, L3-4, L4-5, L5-S1). Severe neural foraminal stenosis is seen mostly at L4-L5 level (21 %) followed by L3-L4 (8%), L5-S1 (6%) and L1-L2 (2%). Moderate neural foraminal stenosis is seen mostly at L4-L5 (45%) followed by L5-S1 (35%), L3-L4 (33%), L2-L3 (15%) and L1-L2 (4%). According to previous reviews 145,146, the most common roots involved were the fifth lumbar root, followed by the fourth, third, and second. In our study L4-L5 level nerve roots are most commonly involved followed by L5-S1, L3-L4, L2-L3 and L1-L2 respectively. In our study severe foraminal stenosis was not there in any patient at L2-L3 level. The higher incidence of disk degeneration and spondylosis at the L4–L5 and L5– S1 levels leading to subluxation and foraminal narrowing contributes to the increased susceptibility of the L4 and L5 nerve roots to static and dynamic compression. The lower lumbar nerve roots are also characterized by a more oblique course throughout the lateral canal, increasing their susceptibility to the effects of pedicular kinking and foraminal stenosis 25.
SPONDYLOLISTHESIS:
Out of 50 patients, 62% were males and 38% were females but spondylolisthesis was more common in females (8/19), is in accordance with previous study, which showed the prevalence of degenerative spondylolisthesis of 5.8% in men and 9.1% in women 26.
CONCLUSIONS AND SUMMARY
Low backache and radiculopathy were more common in males compared to females due to heavy mechanical work done by males. Diffuse disc bulges were mostly seen at L4-L5 level followed by L3-L4 level, L5-S1 level. Ligamentum flavum hypertrophy is seen most commonly at L4-L5 level followed by L3-L4, L5-S1, L2-L3 and L1-L2. Bilateral facetal arthropathy was noted most common at L4-L5 level followed by L3-L4 level, L5-S1, L2-L3 and L5-S1. The lumbar discs are most often affected by degeneration that leads to herniation and stenosis are L4–5 and L5–S1. L4-L5 level nerve roots are most commonly involved followed by L5-S1, L3-L4 respectively. Severe central canal and neural foraminal stenosis is seen in only 62% and 38% respectively in patients with clinical presentation of low backache with or without associated radiculopathy. It demonstrated no significant correlation between imaging appearances of severe central canal, neural foraminal stenosis and clinical presentation of low backache with or without associated radiculopathy. 62% of patients with low backache with or without associated radiculopathy had severe thecal sac stenosis at unilateral and bilateral intervertebral disc levels.
REFERENCES
1. Arbit E, Pannullo S (2001) Lumbar stenosis. A clinical review. Clin Orthop Relat Res 384:137–143
2. Spivak JM (1998) Degenerative lumbar spinal stenosis. J Bone Joint Surg Am 80:1053–1066
3. Ciol MA, Deyo RA, Howell E, Kreif S: An assessment of surgery for spinal stenosis: time trends, geographic variations, complications, and reoperations. J Am Geriatr Soc 1996, 44(3):285-290. PubMed Abstract
4. Deyo RA, Gray DT, Kreuter W, Mirza S, Martin BI: United States trends in lumbar fusion surgery for degenerative conditions. Spine (Phila Pa 1976) 2005, 30(12):1441-1445.
5. N Grenier, H Y Kressel, M L Schiebler, RI Grossman and M K Dalinka. Normal and degenerative posterior spinal structures: MR imaging. November 1987 Radiology, 165,517-525.
6. T.L. Schultea, J.O. Heidenreichb, A.M. Schillingb, R. Stendelc, T.A. Pietilac, W. Hopfenmullerd, M. Brockc, K. J. Wolfb. Comparison of metric analysis of spinal structures, exemplarily of the ligamentum flavum, obtained with CT and MRI. European Jou of Radiol. Volume 52, Issue 3, Pages 224-228 December 2004.
7. Arnoldi CC, Brodsky AE, Cauchoix J, Crock HV, Dommisse GF, Edgar MA, Gargano FP, Jacobson RE, Kirkaldy-Willis WH, Kurihara A, Langenskiold A, Macnab I, McIvor GW, Newman PH, Paine KW, Russin LA, Sheldon J, Tile M, Urist MR, Wilson WE, Wiltse LL (1976) Lumbar spinal stenosis and nerve root entrapment syndromes. Definition and classification. Clin Orthop Relat Res 115:4–5
8. Panagiotis ZE, Athanasios K, Panagiotis D, Minos T, Charis M, Elias L (2006) Functional outcome of surgical treatment for multilevel lumbar spinal stenosis. Acta Orthop 77:670–676
9. Sugimura, Hiroshi; Kakitsubata, Yousuke; Suzuki, Yukiko; Kakitsubata, Shachiko; Tamura, Shozo; Uwada, Osamu; Kodama, Takao; Yanov, Takanori; Watanabe, Katsushi. MRI of Ossification of Ligamentum Flavum. Journal of Computer Assisted Tomography.
10. V M Haughton, 0 P Eldevik, B Magnaes and P Amundsen. A prospective comparison of computed tomography and myelography in the diagnosis of herniated lumbar disks. January 1982 Radiology, 142, 103-110.
11. W Frymoyer, MI I Pope, JH Clements, DG Wilder, Risk factors in low-back pain. An epidemiological survey. The Journal of Bone and Joint Surg. 1983;65:213-218.
12. Frymoyer JW, et al.. Spine radiology in patients with low back pain. J Bone Joint Surg Am 1984;66:1048–55.
13. Crock Hr. Internal disc disruption a challenge to disc prolapse 50 years on. Spine 1986; 650-655.
14. Fries JW, Aboderly DA, Vijingo JG. CT of herniated and extruded nucleus pulposus. JCAT 1982; 6:874-887.
15. Boden S, Davis D, Dina T, et al.. Abnormal magnetic resonance scans of the lumbar spine in asymptomatic subjects: a prospective investigation. J Bone Joint Surg Am 1990;72:403–8.
16. Weiler C, Lopez-Ramos M, Mayer HM, et al.. Histo-
logical analysis of surgical lumbar intervertebral disc tissue provides evidence for an association between disc degeneration and increased body mass index. BMC Res Notes 2011;4:497
17. Okada E, Matsumoto M, Fujiwara H, Toyama Y. Disc degeneration of cervical spine on MRI in patients with lumbar disc herniation: comparison study with asymptomatic volunteers. Eur Spine J 2011;20:585-91
18. Altinkaya N, Yildirim T, Demir S, Alkan O, Sarica FB. Factors associated with the thickness of the liga- mentum flavum: is ligamentum flavum thickening due to hypertrophy or buckling? Spine (Phila Pa 1976) 2011;36:E1093-7.
19. Eubanks, Jason David MD; Lee, Michael J. MD; Cassinelli, Ezequiel MD; Ahn, Nicholas U. MD Prevalence of Lumbar Facet Arthrosis and Its Relationship to Age, Sex, and Race: An Anatomic Study of Cadaveric Specimens. Spine. 2007; Volume 32: 19: 2058-2062.
20. Hamanishi C, Matukura N, Fujita M, Tomihara M, Tanaka S. Cross-sectional area of the lumbar dural tube measured from the transverse views of mag- netic resonance imaging. J Spinal Disord 1994; 7: 388-93.
21. Schönström N S R. The narrow lumbar canal and the size of the cauda equina in man. Thesis. University of Göteborg, Göteborg 1988.
22. Malmivaara A, Slatis P, Heliovaara M, et al.. Surgical or nonoperative treat- ment for lumbar spinal stenosis? A randomized controlled trail. Spine 2007; 32: 1-8.
23. Modic T. Michael, Nancy A. Obuchowski, Jeffery S. Ross, Michael N. Brant-Zawadzki, Paul N. Grooff, Daniel J. Mazanec, Edward C. Benzel. Acute Low Back Pain and Radiculopathy: MR Imaging Findings and Their Prognostic Role and Effect on Outcome. Radiology, 2005:237, 597-604.
24. Shobeiri E, Khalatbari MR, Taheri MS, Tofighirad N, Moharamzad Y. Magnetic resonance imaging characteristics of patients with low back pain and those with sciatica. Singapore medical journal. 2009 Jan; 50(1):87-93.
25. Jenis LG, An HS. Spine update; lumbar foraminal stenosis. Spine 2000; 25:389–394
26. Vokshoor, Amir, and Ali R. Jamali. "Spondylolisthesis, Spondylolysis, and Spondylosis." eMedicine. Ed. Lee H. Riley. 12 Jan. 2009. Medscape. 24 Mar. 2009.
Policy for Articles with Open Access
Authors who publish with MedPulse International Journal of Anesthesiology (Print ISSN:2579-0900) (Online ISSN: 2636-4654) agree to the following terms:
Authors retain copyright and grant the journal right of first publication with the work simultaneously licensed under a Creative Commons Attribution License that allows others to share the work with an acknowledgement of the work's authorship and initial publication in this journal.
Authors are permitted and encouraged to post links to their work online (e.g., in institutional repositories or on their website) prior to and during the submission process, as it can lead to productive exchanges, as well as earlier and greater citation of published work.